マウスピース型カスタムメイド矯正歯科装置

透明で取り外し可能なマウスピース(インビザラインRアライナー)を装着することで、きれいな歯並びに変わっていきます。
治療ごとに口内の状況を確認して、インビザラインRアライナーを新しいものに取り替えていきます。
インビザライン矯正について

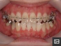
矯正歯科装置 ワイヤー
歯の1本1本にブラケットを装着し、そこに形状記憶合金のワイヤを装着して歯を動かします。月に1回の来院でワイヤを交換したり、ワイヤに曲げをいれることによって歯にかかる力を調整して歯をうごかしていきます。違和感は約1週間で慣れてきます。
マウスピース矯正で対応できない埋伏歯にも対応可能です。

- ワイヤー装置のメリットとは?
- 24時間持続的に歯に力がかかるので確実に歯がうごきます。
- マウスピース矯正のような取り外し式ではないので装着忘れによるトラブルがありません。
- ワイヤー矯正のデメリットは?
- 1か月分の力を加えるのでマウスピース矯正よりは痛みが出る場合があります
- ワイヤが粘膜にささったり、折れたりすることがまれにあります
- ブラケットが脱離することがあります
ワイヤー装置の手順 |
---|
- 歯のクリーニングをおこないます
- 歯の表面を酸処理してブラケットを装着します
- ブラケットに形状記憶合金のワイヤを装着します
- 調整は1か月に一度です。
診察時間 | 月 火 水 木 金 | 土 | 日 |
---|---|---|---|
午前 | 10:00〜12:00 | 10:00〜13:00 | 8:30〜13:30 |
午後 | 14:00〜18:00 | 15:00〜18:00 | 午後休診 |
※月〜土曜日の最終受付は18:00です(日曜日は13:30)